文章插图
2. 补牙材料的凝固需要一定的时间,因此补牙后2小时内应忌食,2小时后,可适当吃些清淡、温和的流食及半流食;如牛奶、面包、粥及汤类 。
3. 补牙后的牙体,其咀嚼功能较真牙差,因此补牙后应注意口腔的防护,切不可咬过硬的食物 。

文章插图
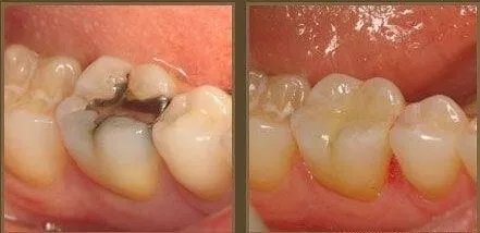
4. 若龋洞较大,补牙后,牙体修复后往往由于牙体在咀嚼时易发生牙折,为此,这类牙齿补牙后应根据医师的建议及时做牙冠给予保护 。

文章插图
5. 补牙后如有轻微的疼痛及不适是正常的,过一段时间方可适应,而如果补牙后疼痛非但不减轻,反而进一步加重,则应及时让主治医师进行进一步的调整修复 。

文章插图
最后,小编提醒大家,
在日常生活中要注意口腔卫生,早晚刷牙,同时,应该定期看牙医,进行口腔检查和洁牙,及时去除牙菌斑和牙结石,减少牙菌斑和结石对牙齿的伤害 。
- 什么猫粘人不掉毛 什么猫粘人
- 淘宝店铺释放与注销有什么区别
- 孩子小儿肺炎有哪些症状
- 带孩子的时候有哪些行为是错误的
- 老母鸡怎么炖最烂,有营养 炖老母鸡放什么容易烂
- 孩子的乳牙提前掉了有什么影响
- 很经典的说说适合发朋友圈
- 正常人为什么突然会有白血病 急性白血病是怎么引起的
- 献血对身体有没有危害 正常人献血好不好
- 京东双十一预售有优惠吗
特别声明:本站内容均来自网友提供或互联网,仅供参考,请勿用于商业和其他非法用途。如果侵犯了您的权益请与我们联系,我们将在24小时内删除。
