
文章插图
有个药房的同事,前段时间受凉后出现全身乏力、咽痛、头痛、咳嗽、发热等不舒服 。她觉得自己是感冒了,自己拿了新康泰克、蒲地蓝口服液等感冒药,一般情况是好转了,也不发烧了 。但是,还是反复咳嗽,一阵阵的刺激性呛咳,严重的时候还会出现胸骨后疼痛、上气不接下气 。于是,她找了内科门诊医生就诊,拍胸片提示左下肺炎 。连续输头孢消炎、再加上川贝止咳胶囊等药物止咳治疗3天,咳嗽症状却不见好转,严重影响工作和休息 。于是,门诊医生建议她住院治疗 。详细了解了她的起病经过,无明显畏寒高热,无咳黄脓痰,主要以阵发性干咳为主,既往无特殊病史,肺部查体未见明显异常,血象无明显升高,胸部X线左下肺可见散在斑片状渗出病灶 。我们考虑首先要排除肺炎支原体感染,给她安排了肺炎支原体抗体检查,结果回报竟然高达1:2560 。给予莫西沙星0.4mg静滴,辅之于复方甲氧那明胶囊等止咳对症处理,2天后,她的咳嗽症状就明显减轻了 。住院10天,症状完全缓解后出院 。

文章插图
肺炎支原体肺炎(Mycoplasmal Pneumonia)是由肺炎支原体引起的呼吸道和肺部的急性炎症改变,常同时有咽炎、支气管炎和肺炎 。秋、冬季节发病较多,但季节性差异并不显著 。肺炎支原体是介于细菌和病毒之间、兼性厌氧、能独立生活的最小微生物 。主要通过呼吸道传播 。以儿童及青年人多发 。

文章插图
肺炎支原体肺炎潜伏期约2-3周,起病较缓慢 。可以有乏力、咽痛、头痛、咳嗽、发热、食欲不振等类似上呼吸道感染的症状 。往往会被患者误以为是感冒了 。阵发性刺激性呛咳是其突出的特点,可以咳嗽少量的黏液 。胸部的体格检查与肺部病变程度常不相称,可无明显体征 。自然病程2-4周不等 。

文章插图
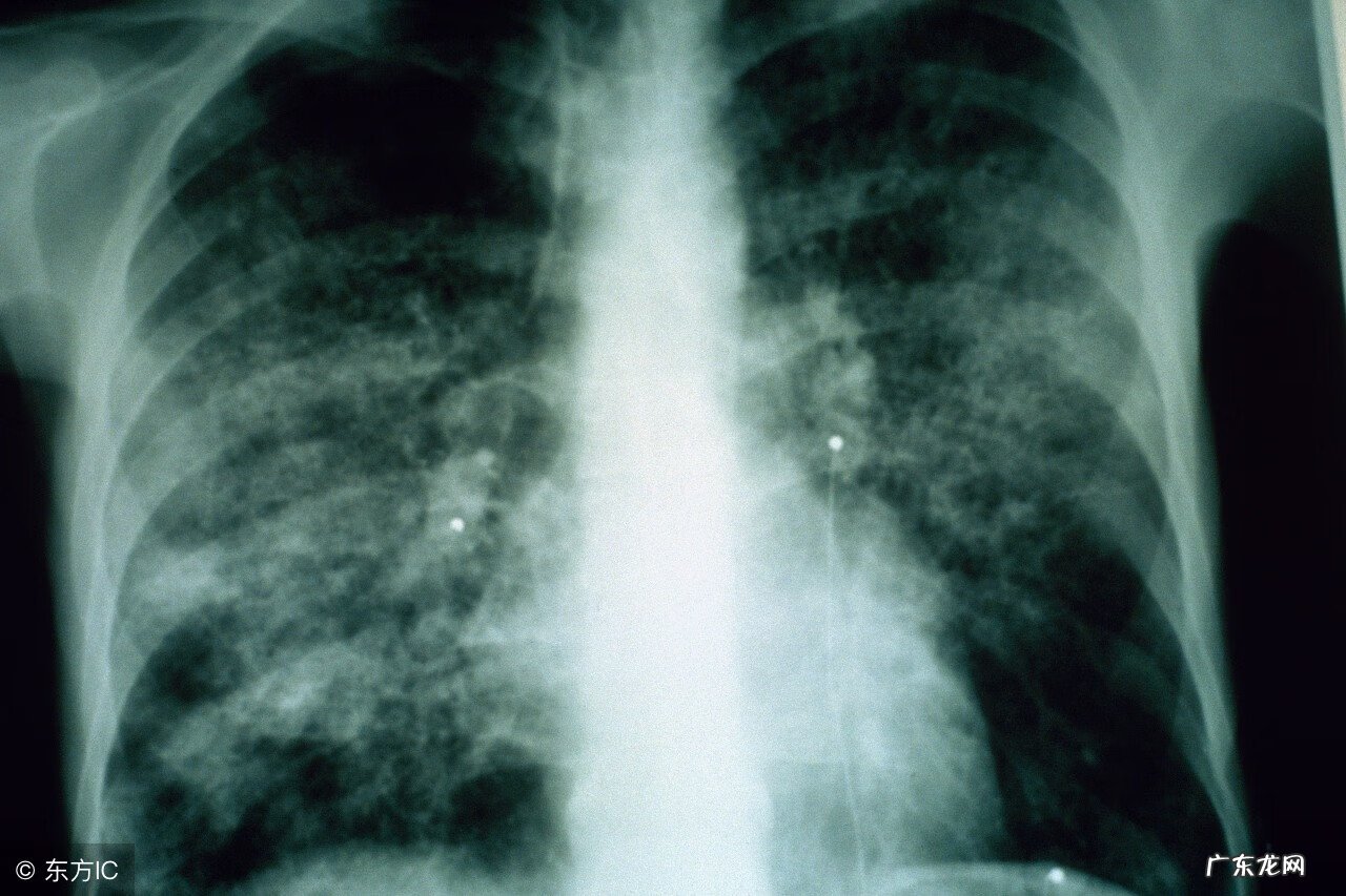
辅助检查方面主要是血清学检查及X线影像学检查 。采集间隔2-4周急性期及恢复期的双份血清标本,不同医院可能采用不同的检测方法,一般恢复期抗体滴度有四倍增高,可确诊 。X线检查显示肺部多种形态的浸润影,呈阶段性分布,以肺下野多见,部分患者可出现少量胸腔积液 。

文章插图
我们平常一有发烧、咳嗽,就会想到去药店或者医院拿头孢类的消炎药 。但是,因为肺炎支原体无细胞壁,青霉素或头孢菌素类等抗生素是无效的 。可以选用大环内酯类抗生素,如红霉素、罗红霉素和阿奇霉素 。亦可选用呼吸氟喹诺酮类,如左氧氟沙星、莫西沙星等,四环素类也用于肺炎支原体肺炎的治疗 。疗程一般2-3周 。

文章插图
那应该如何预防肺炎支原体呢?1.定期开窗通风,保持室内空气新鲜 。2.多喝温水,多吃水果蔬菜,均衡营养 。尽量少吃或者不吃那些辛辣刺激性的食物,也不要吃那些过于油腻的食物 。3.多开展户外活动,加强呼吸运动锻炼,以改善呼吸功能 。

文章插图
【肺炎支原体性肺炎 肺炎支原体肺炎】大家在平时的日常生活中,如果出现呼吸道症状或者咳嗽厉害的症状,这就是提醒大家有可能是得了肺炎支原体肺炎,及时就医,切勿盲目服药头孢类的抗生素 。这些您都了解了吗?
- 新冠疫情工资怎么发 新冠肺炎疫情下
- 支原体阳性会自愈吗 支原体阳性是出轨了吗
- 间质性肺炎 肺炎种类有哪些
- 巴西龟肺炎能自愈 巴西龟肺炎会自愈吗
- c反应蛋白 特别高 c反应蛋白高正常值
- 惊!重症新冠肺炎近一半合并细菌真菌感染
- 喝白酒可以预防新型冠状肺炎吗
- 咳嗽特别厉害会得肺炎吗 肺炎会咳嗽的很厉害吗
- 肺炎可以完全治愈吗 肺炎好治吗?
- 新型肺炎自查手册内容 新型肺炎自查手册
特别声明:本站内容均来自网友提供或互联网,仅供参考,请勿用于商业和其他非法用途。如果侵犯了您的权益请与我们联系,我们将在24小时内删除。
