核心提示:种植牙手术中需要先取下牙冠,然后植入种植体 。但由于在种植牙过程中,患者的身体处于放松状态,加上种植牙周围的软组织对术后疼痛敏感,导致种植牙术后疼痛 。那么种植牙术后疼痛是什么原因引起的?种植牙为什么会出现疼痛?种植牙有哪些注意事项?广州东英口腔医院牙体种植科主任刘建新为大家讲解种植牙后疼痛的相关知识 。
一、种植牙为何会疼痛?
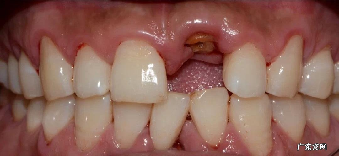
种植牙手术后,会引起种植体周围的软组织出现肿胀和疼痛感,这是由于患者不了解种植牙产生疼痛的原因所致 。部分患者在种植之前没有任何的牙齿疾病史,种植牙完成后才感觉到疼痛 。在选择不同的种植方式时,患者也可能出现不同的并发症,其中最常见的就是牙龈萎缩和口腔炎症等 。种植后的牙龈局部会出现肿胀和疼痛,这主要是因为牙龈炎症导致牙龈组织被破坏引起的 。特别是牙龈炎引起的疼痛,需要及时治疗 。因此为了避免种植牙产生疼痛感以及避免牙龈炎症等并发症而选择牙科治疗是关键 。

文章插图
二、种植牙后会出现什么症状?
1、牙周病:种植牙术后牙周病很常见,牙龈发炎,可能会导致种植体周围牙槽骨吸收,种植体表面会有感染和充血 。2、牙根疼痛:可能会在种植牙手术后半年到一年时间出现 。如果症状较轻,可以在种植体周围进行按摩和热敷,以缓解症状 。3、牙冠松动:通常种植牙的过程是比较复杂的,一般在2个月到3个月左右就会慢慢地出现一些症状,如松动以及移位、牙龈萎缩 。4、牙齿移位:很多人在种植手术后都会发现有些患者有明显的牙槽骨吸收以及松动 。这是由于种植体或植入过程中存在一定损伤,特别是牙体和牙周组织,使得种植体局部温度和压力升高,导致局部软组织对伤口刺激敏感而造成的 。这些都会引起种植牙后牙齿晃动或牙周炎症状严重影响患者正常生活、学习及工作 。
【过来人说出真相 种植牙后疼痛怎么回事】

文章插图
三、种植牙注意事项
由于种植牙的出现,导致患者出现了不同程度的牙周炎,因此患者需要进行积极的治疗,否则很容易出现种植牙后牙龈红肿,牙周炎加重,甚至牙根松动等问题,所以患者在做种植牙之前一定要到医院进行检查 。如果发现种植体的颜色不对,或植体位置不对,或者出现了牙龈出血,都需要及时做好处理 。患者还需要多吃一些富含维生素的食物,例如水果、蔬菜、鱼类等等,才能够达到对种植手术比较好的效果 。温馨提示:做种植牙的时候一定要选择正规的医院进行治疗,不要轻信一些虚假的广告 。本文内容由第三方发布,内容仅代表作者观点,与本网站无关 。

文章插图
- 过来人说出真相 种植牙后还是疼怎么办
- 男友报警!真相公开… 私家车失踪数月被冰钓者发现
- 三国演义中田丰之死 田丰之死背后的真相
- 喀纳斯湖哲罗鲑最大的有多长 新疆喀纳斯湖水怪之谜真相大白
- 吃腰子真的能提升性能力吗?真相!
- 揭开斐讯免费路由器通过京东热销的幕后真相 phicomm路由器多少钱啊
- 什么什么大白四字成语
- 蓝可儿究竟看见了什么 蓝可儿案件真相是什么
- 揭露真相!临沂华康饭店炒咸菜视频曝光!
- 中国9人疑似外星人 1994年贵阳空中怪车事件真相
特别声明:本站内容均来自网友提供或互联网,仅供参考,请勿用于商业和其他非法用途。如果侵犯了您的权益请与我们联系,我们将在24小时内删除。
