
文章插图
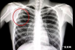
【肺结核怎样检测出来】胸片检查发现肺结核病变 。为了更准确地诊断肺结核疾病,有必要进行CT检查来诊断肺结核疾病 。CT检查可以进一步诊断肺结核病变的程度,CT检查结果可以评估疾病的严重程度,为以后的治疗提供解决方案 。
- 无症状的肺结核会自愈吗
- 经期卫生巾过敏怎么办 怎样判断是卫生巾过敏
- 3天了为什么还查不到核酸检测结果
- 笔记本重置电脑会怎样
- 医美设备热玛吉 热玛吉是怎样操作的
- 怎样评论婚姻情感老师怎么写
- 怎样可以成为健身教练 怎样能成为健身教练
- 怎样健身效果好 怎么健身效果好
- 健身练上胸方法 健身怎样练上胸
- 运动减肥怎样减肥最快 空腹运动更减肥吗
特别声明:本站内容均来自网友提供或互联网,仅供参考,请勿用于商业和其他非法用途。如果侵犯了您的权益请与我们联系,我们将在24小时内删除。
