病毒是人类闻之色变的物体 , 人们认为病毒就是疾病和灾害的根源 , 但是病毒并没有那么简单 , 很多疾病都是要靠找到病毒源才能得到解药 , 甚至世界上最难治的传染病 , 还和人类的起源有密不可分的关系 , 例如这个名叫“潘多拉”的世界上最大的病毒 。
【世界上最大的病毒 潘多拉三万年后被复活】

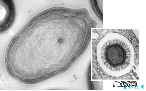
文章插图
“潘多拉”病毒完全颠覆了人类对病毒的认知 , 在以往的研究中病毒都是极为微小的 , 全球最恐怖十大致命病毒基本都是纳米级别的细胞组织 , 而“潘多拉”则完全违反了这个定论 , 它的直径达到了1微米 , 这意味着这种病毒都不需要显微镜 , 用一个高倍数的放大镜就能看到这个巨大的病毒体 。

文章插图
这款病毒被发现之初 , 研究者几乎把它当成了小细菌 , 这个病毒实在是太大了 , 完全不符合病毒的正常形态 , 研究人员虽然猜测它可能是为了生存 , 在不断的进行细胞吞噬进化才达到这么大的体积 , 但是人类依然找不到它的起源和存在的曾经存在的证明 , 只能从发现这个病毒的智利海岸冻土中分析出 , “潘多拉”的存在至少有三万年之久 , 除此之外一无所知 , 甚至连它是不是地球的生物都无法判断 。

文章插图
虽然这个名叫“潘多拉”的病毒我们对它一无所知 , 但是也没必要因为它是病毒就对它产生恐惧心理 , 病毒并不是都会被人类感染 , 也不是全部都有害的 , 通过目前的研究可以暂时确定这种病毒对不会传染人体 , 虽然人类将它复活了 , 但是并不用担心传说中的史前病毒苏醒从而毁灭人类 。“潘多拉”目前的价值依然是十分宝贵 , 人类可以借助它来研究巨型病毒的庞大谱系 , 为预防更多病毒做准备 , 还能根据这款年代悠久的病毒 , 去寻找远古时期的生态环境 , 甚至还能从“潘多拉”的身体中 , 找到人类起源和进化的秘密 。
- 真的? 世界上最贵的女人 詹尼佛·洛佩兹投保身体16.21亿美元
- 世界上最短的裙子 裙长只有五寸
- 2017压力的最大十大职业 原来这些职业这么不容易!
- 世界上最小的熊 马来熊仅重27千克不及黑熊十分之一
- 世界十大奇案 至今无人能解
- NBA史上最大合同 哈登获6年2.28亿美元的巨大合同
- 中国风水大师排名 中国十大最好的风水大师
- 壮阳最好的四大中成药 壮阳药排行榜
- 有记录的 寿命最长的人 活了122岁
- 中国护肤品十大排名 口碑最好的国产护肤品
特别声明:本站内容均来自网友提供或互联网,仅供参考,请勿用于商业和其他非法用途。如果侵犯了您的权益请与我们联系,我们将在24小时内删除。
