磁共振片子出了,报告没出可以看医生吗最上面一排英文从左到右是仪器的牌子和医院的名字好像是什么镇安中医医院 。
左上是图片的编号和体位第几系列第几张图是什么切面 。
右上是病人名字,医院编码,出生日期年龄性别,哪一天几点做的这个磁共振 。
下面的都是磁共振的技术参数 。

文章插图
腰椎间盘t1wi等信号,t2wi呈高信号所谓信号就是磁共振片子显示的各个部位的亮度(黑一点或白一点),T1WI是T1加权序列 , T2WI是T2加权序列,这是两个常用的磁共振扫描序列 , 通过电脑设置扫描时身体周围的磁场变化和信号采集模式,可以得到更多诊断信息,T1/T2就是两个常用的 , 不同组织在这些序列检查时信号时不一样的 。所以这句话解读就是:椎间盘在T1加权成像时呈现等、高信号(中等或白的信号) , 在T2加权成像时呈现高信号(白的信号) 。

文章插图
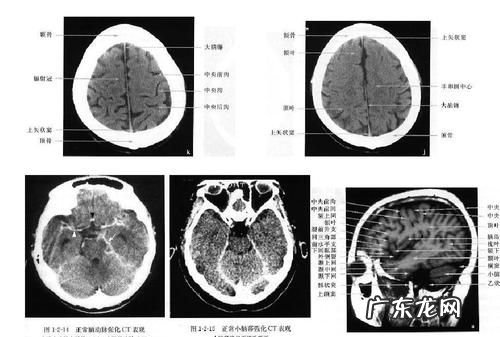
拍了片子拿到结果看不明白怎么办|内容拓展(来自彩虹神经内科医生)——腔隙性脑梗死
腔隙性脑梗死 , 是脑梗死诸多类型中的一种(如果是微小血栓导致的腔隙性脑梗死,属于脑栓塞的概念),是大的脑动脉分出的的单个小穿通支血管闭塞引起的非皮质性小梗死(梗塞灶的直径一般在0.2-15毫米),这个概念最早来自19世纪,当时医生在尸体解剖中发现这类病灶,发现在大脑的中心部位及脑皮质的下面脑干上有很多的体积很小的缺血性的病灶,后来通过CT、磁共振等技术在活体上也得到了证实 。不过,随着人们这类疾病认识的不断提高 , 腔隙性脑梗死这个诊断名词的争议也越来越大,临床应用也越来越少,它更多的被 “脑小血管病” 等诊断所替代 。
至于“腔隙性脑梗死”发病的原因,目前的观点主要包括以下几种:
【如何看懂磁共振片子,磁共振片子出了报告没出可以看医生】1. 小的穿通支动脉的小动脉硬化(主要是脂质透明变性)是常见病因,尤其是较小的梗死(长度为3-7毫米) 。
2. 源自一些大血管,如大脑中动脉主干、脑底动脉环、基底动脉远端或椎动脉远端的穿通支动脉起始处的 微粥样硬化斑。也就是说这些小穿支动脉的开口的地方由于斑块的完全或次全的遮盖,导致缺血 。
3. 在某些情况下,虽然未经病理证实,但很多科学家仍怀疑微小栓子是这些小梗死的原因 。
腔隙性脑梗死占所有的缺血性脑卒中(包括脑梗死和脑栓塞等)的15%-26% 。
上面描述的三种腔隙性脑梗死病因中有两种与高血压相关性慢性血管病变有关 。其他,如吸烟、糖尿病等因素也被认为参与其中 。

文章插图
磁共振诊断报告书写规范没看片子不好说,现在的报告越来越抽象了,原来还描述一下病灶的形态大?。?现在什么都没有 。
猜一下 , 胸11椎体内有几种可能,骨肿瘤,骨结核;
胸1-2椎间盘轻度突出;硬膜囊受压;黄韧带肥厚 。
肝内囊肿 。
报告是什么?

文章插图
- 如何做河蚌肉而不腥也不老 如何做河蚌
- 黄曲霉素怎么去除,如何杀灭黄曲霉素
- 速卖通店铺如何转让给客户?速卖通店铺转让有风险吗?
- 速卖通店铺浏览量如何增加?如何提高转化率?
- 淘宝拒绝发货赔多少?如何申请赔偿?
- 1688买家如何批量评论?评价有什么技巧?
- 邮政办理etc需要什么手续,如何办理邮政银行ETC
- 如何判断核桃是否变质,怎么判断核桃是否过期变质快
- 如何除去冰箱的洋葱味,怎样去除洋葱味道
- 怎么更换光猫 谁会操作,联通如何自己更换套餐
特别声明:本站内容均来自网友提供或互联网,仅供参考,请勿用于商业和其他非法用途。如果侵犯了您的权益请与我们联系,我们将在24小时内删除。
