
文章插图

文章插图
人类大脑倾向于在没有规律的事物中发现规律,倾向于将我们不熟悉的事物划分开来,对它们进行分类,这就是为什么白种人会认为所有的中国人看起来都长得一样 。因为唐氏综合症患者有共同的面部特征,是可识别的,因此大脑倾向于将他们单独分组而不考虑个体差异 。实际上相比其它唐氏综合症患者,唐氏综合症患者长得更像跟自己有血缘关系的父母亲 。

文章插图
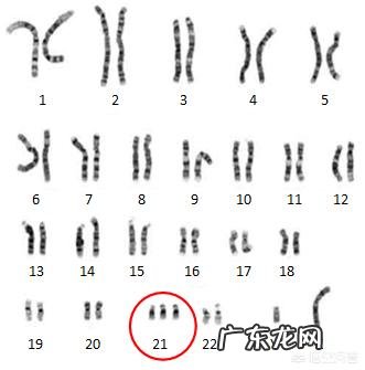
甚至以diyi个发现唐氏综合症并以此命名唐氏综合症而闻名的约翰·兰登·唐氏(John Langdon Down)博士也在1866年提出理论,认为患有唐氏综合症的人因为内眦赘皮皱褶类似,所以都属于一个特定的zhongzu:蒙古人 。在那个时代,蒙古人被错误地认为是比其他zhongzu欠发达 。直到1959年,唐氏综合症的真正原因才被确定——21号染色体多一条 。
典型的唐氏综合症的特征包括异常小的下巴,向上倾斜的眼睑,嘴角向下,鼻梁扁平,舌头突出,脸宽且平,脖子短,手指短,大脚趾和其他脚趾之间有很大的空隙 。唐氏综合症的患者肌肉张力减退,他们的四肢软弱无力,不像普通人那样稳,控制也不太好 。但一个唐氏综合症患者可能并不具备所有这些特征 。
【唐筛过了有必要做无创吗?】唐氏综合症患者多一套21号染色体,会导致基因过度表达 。大多数基因过表达对身体几乎没有影响,究竟是21号染色体上的哪些基因与唐氏综合症患者的相似症状直接相关目前仍然不清楚 。
- 你还记得你小时候的生活吗,与现在相比有哪些变化
- 练腿除了深蹲之外,还有哪些动作比较好
- 无绳跳绳和有绳跳绳有什么区别?哪个减肥效果好?
- 假如用跳绳做有氧,也需要像跑步那样跳三四十分钟吗? 30分钟有氧跳绳健身操
- 支付宝企业网商银行怎么取消?方法有哪些?
- 永久脱毛不再生长 脱毛不再生长最有效方法
- 哮喘雾化吸入zhi疗有哪些优势和需要注意哪些?
- 降血压药物可以隔天服用一次吗?有哪些注意事项?
- 秋天减肥有什么快速的方法呢?
- 冰冻过的豆腐营养价值有什么变化? 鲜豆腐有什么营养
特别声明:本站内容均来自网友提供或互联网,仅供参考,请勿用于商业和其他非法用途。如果侵犯了您的权益请与我们联系,我们将在24小时内删除。
