一提到寄生虫,大部分人都会感到恐惧,特别是对女生来说 。而小编即将要介绍的是世界上最恶心的寄生虫,这份名单包括,螨虫,线虫,蛔虫,绦虫等,胆小者请不要观看 。
10、臭虫【世界上十大最恶心的寄生虫 非常恶心恐怖】

文章插图
臭虫大小与苹果种子大小相同,仅以血液为食,臭虫的叮咬有点像蚊子,对一些人来说,臭虫的唾液会引发过敏性休克 。在20世纪40年代,臭虫几乎从发达国家绝迹,但不幸的是,它又卷土重来了 。臭虫爬过的地方,都留下难闻的臭气,故名臭虫 。
9、疥螨

文章插图
仅仅是“疥疮”这个词听起来就很不舒服,疥疮是由皮肤下面的微小寄生螨引起的 。虽然得了疥疮是一种不愉快的经历,但很容易治疗 。在免疫系统较弱的人群中也会出现结痂或挪威疥疮 。这种螨虫泛滥成灾,很有可能有上百万的螨虫在皮肤下爬行,而不是十几只 。
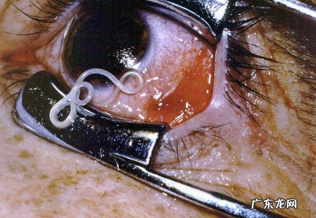
8、非洲眼线虫

文章插图
非洲眼线虫指的是寄生在眼睛瞎的蠕虫,除了在眼睛周围爬行外,它还可以可以在皮肤下爬行很多年,这些蠕虫可以活到17岁,大部分时间都不会被发现,直到有一只出现在眼睛内表面 。当蠕虫在眼球表面下缓慢移动时,你会感到非常痛苦 。也许唯一值得安慰的是,当它们像这样清晰可见时,你可以通过外科手术移除 。
7、麻痹蜱

文章插图
澳大利亚麻痹蜱,它在澳洲随处可见 。这种虫子携带一些立克次氏体感染或莱姆螺旋体,它会使皮肤形成慢性游走性红斑 。严重的会导致肺部瘫痪,进而导致呼吸衰竭 。至今还没有研发出能治疗的药物 。早期著名音乐天后艾薇儿也被这种虫子咬了一口,从而患上了莱姆病,最后5个月卧床不起 。
6、麦地那龙线虫

文章插图
麦地那龙线虫在饮用被含有蠕虫幼虫的水蚤污染的水时,会感染宿主(人类或狗) 。当跳蚤被胃酸消化时,幼虫就被释放出来,通过穿透宿主的胃壁或肠壁开始它的旅程 。好消息是世界卫生组织已制定了消灭活动方面的战略和技术指南 。这种疾病已经逐渐减少 。
5、沙蚤

文章插图
沙蚤病是由母沙蚤侵入人体的四肢及皮肤寄生所致的一种疾病,最常见的情况是由脚底或脚趾甲钻入人体 。该病正在非洲乌干达肆虐 。雄性会跳上去吸血,然后跳下去;另一方面,雌性喜欢呆在周围 。她会先钻到皮肤上,只留下一小部分后端突出 。这是为了呼吸,排泄和交配 。在雌性孵化过程中轻则造成双足溃烂,重则致命 。如果没有及时接受治疗,这些伤口有可能二次感染,严重时威胁生命 。
4、丝虫

文章插图
由丝虫病引起的疾病经常被错误地称为“象皮炎”,丝虫可以导致组织中淋巴液的堆积 。这通常会影响身体的下部,对于男性来说尤其残酷,因为肿胀会导致睾丸或皮肤组织变大,全世界有超过1.2亿人感染丝虫病 。对大多数人来说,很少或根本没有感染的迹象 。
丝虫病患者的前景喜忧参半 。手术在某些情况下可以成功,但不是很多 。蠕虫也能活很长时间长达14年,在此期间它们会繁殖,所以这种情况通常会持续一生 。
- 东南亚十大最美景点排行榜 巴厘岛排第五
- 山东十大特产 山东特产有哪些
- 纪梵希口红最火色号排名 纪梵希口红哪个颜色最火
- 世界上最软的石头 可以写字造纸当药材
- 十大常见的美味小海鲜 小海鲜都有哪些品种
- 宝莱坞十大最帅男明星 赫里尼克·罗斯汉占据榜首
- 土耳其十大最美女星 土耳其美女一览!
- 世界十大危险的地方 巴西库巴唐——无脑婴儿产地
- 我国体坛具最特殊军衔的十大运动员 前三位被授予少将军衔
- 美国最先进的战斗机排行榜 F-22战斗机排名第一
特别声明:本站内容均来自网友提供或互联网,仅供参考,请勿用于商业和其他非法用途。如果侵犯了您的权益请与我们联系,我们将在24小时内删除。
