牙齿变黄主要有以下几种原因:1、由于牙菌斑和牙石的附着这种外源性的染色,而这种外源性的染色一般需要每天刷牙,并且需要定期的洗牙才能够解决 。另外也可以用牙齿美白的方法,也就是冷光美白 。2、牙髓坏死,如果牙齿受到外力撞击,或者是曾经出现过根管zhi疗的现象,牙齿可能在长久以后就会出现变黄或者变成灰褐色,而这种情况下,如果是牙髓坏死,可能需要先进行zhi疗,然后可以进行内漂白 。最后,如果想要达到更美观的效果,也可以进行冷光美白或者是进行牙贴面和烤瓷冠的修复 。所以,不同的原因需要不同的zhi疗方法 。3、如果是氟斑牙或者是四环素牙,牙齿也是出现黄或者是灰色,这种颜色小面积的可以用树脂充填,如果是大面积或者是整个牙面想得到美观的效果,可以选用牙贴面或者是美容冠的修复 。
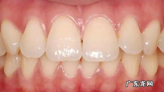
牙齿好黄怎么办这是不是口腔疾病其实我们牙齿本身的颜色是淡黄色,这是因为牙齿外层是牙釉质,具有半透明特性,而釉质内层的牙本质颜色并不是白色的,而是偏黄色,它的颜色会部分透过牙釉质,从而使牙齿颜色有一定的黄色 。

文章插图
【减脂期间为什么牙齿变黄了很多】来自: 柏柏BJ育儿漫画

文章插图
而越健康的牙釉质钙化程度越高,其硬度也越高,这样的牙釉质更透明,其深部的牙本质的黄色也更容易透过而呈淡黄色 。像下面这种淡淡的黄才是正常的啊各位,如果是比这黄的多肯定就是有原因的了!

文章插图
那么什么样的黄牙是不健康的呢?
1.氟斑牙
氟斑牙其实也是轻度氟中毒的表现,严重的氟中毒可以引起骨骼发生氟性骨硬化(氟骨症) 。是一种与饮用水中氟含量过高有关的牙齿疾病,儿童在七、八岁前牙齿发育钙化期如饮用含氟量过高的水或者使用过量的含氟牙膏可能危害牙胚的造釉细胞,是一种牙齿发育钙化期中摄入氟量过高而致的釉质发育不全 。该病属于一种地方病,其发病有很大的区域性 。
2.四环素牙
四环素是由金霉素催化脱卤生物合成的抗生素,毒性低,早在1948年即开始用于临床 。牙齿发育时,牙釉质和牙本质在一层基底膜的两侧同时开始形成,若此时服用了四环素类药物,药物进入体内后就在牙本质和牙釉质中形成黄色层,且牙本质中的沉积要比在釉质中高4倍 。
又由于黄色层呈波浪形,似帽状,大致与牙的外形一致.所以整个牙齿均有颜色的改变 。最初牙齿呈黄色,在阳光照射下呈现明亮的黄色荧光,以后逐渐由黄色变成棕褐色或深灰色,这种颜色转变是缓慢进行的,阳光对它有促进作用 。此外,四环素类药物不仅可以影响婴幼儿时期发育的恒牙牙色,而且孕妇若服用此类药物,还可以通过胎盘影响胎儿期发育的乳牙牙色。
既然都看到最后了,那就赶紧关注一下吧!难道你要等到老掉牙了再关注河马牙医头条号吗?
- 惠州为什么叫鹅城,你知道吗?
- 为什么下沉式卫生间越来越流行,入住半年,幸亏知道的及时!
- 绿茶能减脂肪沈积体内
- 凌霄为什么给尖尖送内衣
- 宝宝睡觉为什么老是打滚
- 减肥期间的西红柿营养减肥餐
- 黄瓜鸡蛋减肥法 让你一瘦到底
- 这些食品其实不减肥
- 4款美味又减脂蔬菜汁
- 减肥期间吃什么有助于减肥
特别声明:本站内容均来自网友提供或互联网,仅供参考,请勿用于商业和其他非法用途。如果侵犯了您的权益请与我们联系,我们将在24小时内删除。
