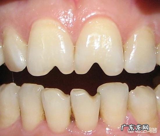
人们所说的瓜子牙其实是前牙的两颗大门牙由于长期咬坚果类的东西会出现几个浅窝,弧形缺损,不太平整,便形成了所说中的瓜子牙 。

文章插图
不过瓜子牙对我们的身体并无大碍,只不过,对于追求完美的人来说,可就不好看了,如果笑起来话,露出两个歪歪损损,残缺不齐的瓜子牙,确实不太美观 。
经常总是用前门牙齿的同一个部位嗑瓜子等有坚壳的东西,所以时间长了,牙齿磨的就形成一个小凹槽,所以就称为瓜子牙 。
【瓜子牙是什么意思?】瓜子牙就种损了部分的牙,一般多在门牙,中间凹下去了一部分,缺了部分就像倒V,是经常咬硬东西磨损了的,我好像也有一颗,不过不是吃瓜子等形成的,我是咬啤酒盖形成的!

文章插图

文章插图
瓜子牙是长期嗑瓜子等坚壳类食物造成的切牙切缘牙釉质过度磨耗,形成的不同程度弧形切迹或缺损,瓜子牙不仅会影响外观形象,重则会造成牙本质暴露牙齿出现冷热敏感,甚至细菌进入髓腔导致牙髓炎引发剧烈疼痛 。
- 泽塔奥特曼最强大的怪兽是什么
- 佛教七宝是哪七宝?七宝的作用分别是什么
- 影响深远的道家思想产生的职业是什么
- 道家思想的核心是什么?受人推崇的“道”
- 经典佛经之一:华严经主要讲的是什么
- 世界上著名的四大钻石分别是什么?
- 干燥症治疗的最好方案是什么?
- 重启之极海听雷里面的刘丧是什么身份
- 第3个中国医师节主题说是什么
- 小数的意义是什么?
特别声明:本站内容均来自网友提供或互联网,仅供参考,请勿用于商业和其他非法用途。如果侵犯了您的权益请与我们联系,我们将在24小时内删除。
