很多人在做常规体检 , 或者在看其他疾病的时候 , 通过做B超和CT检查 , 发现自己有肝囊肿 。

文章插图
这个病本身没有症状 , 也不需要治疗 , 但由于肝囊肿这个“肿”字 , 总让人联想到肿瘤什么的 , 因此会比较担心 。
那么 , 肝囊肿是一种什么样的病?需不需要治疗的?平时生活有哪些需要注意的?今天 , 龙大夫就来谈一下 。
肝囊肿有两类 , 一类是寄生虫性的肝囊肿 , 另一类是非寄生虫性的肝囊肿 。我们平常所说的肝囊肿 , 绝大多数是指肝脏的非寄生虫性囊肿 , 而非寄生虫性囊肿里面 。又以潴留性肝囊肿和先天性多囊肝最常见 。
寄生虫性肝囊肿多是肝脏的球蚴病 , 比较罕见 , 发生在特定的疫区 , 需要特殊的方法诊断和治疗 , 不是这篇文章所要谈论的内容 。

文章插图
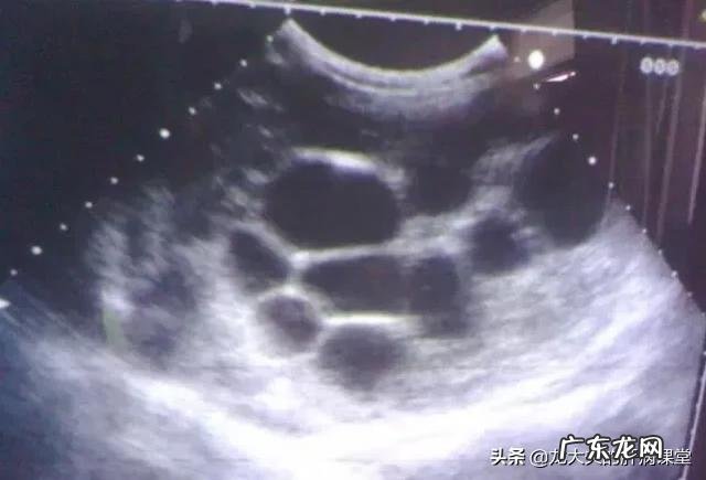
潴留性肝囊肿 , 是由于肝内有一个或多个胆小管 , 因为炎症、水肿、结石、瘢痕造成的堵塞 , 引起分泌或胆汁贮存 , 最终形成的一个囊泡样的肿物 。
我们可以想象它是一个水泡 , 当水泡的出口和入口都封闭的时候 , 水泡里面的水出不去 , 水泡的壁越来越厚 。在B超或者CT上看到的囊肿 , 就是这个样子 , 囊肿里面由于是液体 , 密度会比周围的脏器要低一些 。
还有一种肝囊肿 , 是先天性多囊性肝病 , 这是一种遗传性的疾病 , 先天就有的 。这种囊肿不单见于肝脏 , 有一半的人同时还伴有肾囊肿 , 有一些患者就能见到这样的情况 。

文章插图
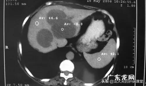
囊肿一般不生长或者生长非常缓慢 , 生长的原因主要是囊壁仍然有液体渗透进去 。所以 , 极少部分囊肿 , 由于越来越大 , 有可能会造成破裂 。这是囊肿最怕出现的情况 , 破裂后就有可能导致细菌感染 。
由于囊肿形成比较缓慢 , 总也不长大 , 大多数人是没有任何症状的 。有一小部分人 , 可能因为囊肿较多 , 或者体积较大 , 会对肝造成挤压和压迫 , 可能会有轻微的腹胀和压迫感 , 少部分有可能会导致肝功能损伤 , 出现谷丙转氨酶和胆红素升高 。

文章插图
至于很多人担心肝囊肿会不会癌变的问题 , 目前没有证据表明肝囊肿会癌变 。有一小部分肝癌 , 一开始可能看起来像囊肿 , 那并不代表是由肝囊肿转变来的 , 而可能一开始就是比较罕见的小肝癌 。
所以 , 对于一些检查不是很典型的囊性病变 , 可能需要进一步的做增强磁共振检查来确诊 。一般情况下的肝囊肿 , 都不需要治疗 , 定期复查就可以了 , 平时在生活中要注意避免劳累 。
绝大多数单纯的或者多发性的肝脏小囊肿 , 如果没有症状的话 , 是不需要治疗的 。少部分有破裂出血或者感染的 , 需要手术和抗感染治疗 。肝囊肿要定期复查 , 复查的间隔时间为6到12个月 。
- 涧下水命是什么意思
- 军训擦什么防晒霜好 军训用哪种防晒霜好
- 曳兵弃甲是什么生肖
- 有什么食物是强酸性的?
- 苏宁配送是怎么配送的 苏宁易购配送方式
- 关于青春的句子
- 叶修帮唐柔打出龙抬头,是哪一集?
- 物体在离心力场中表现的沉降运动现象是指
- 物质是由什么组成的?
- 100米跑的起跑步骤
特别声明:本站内容均来自网友提供或互联网,仅供参考,请勿用于商业和其他非法用途。如果侵犯了您的权益请与我们联系,我们将在24小时内删除。
