肝脏是身体内以代谢功能为主的一个器官 , 对人体的糖原代谢、胆汁代谢、免疫调节以及消化等方面都有着很重要的作用 , 肝脏还是人体内最大的解毒器官 , 体内产生的毒物、废物 , 吃进去的毒物、有损肝脏的药物等等也必须依靠肝脏解毒 。因此 , 肝脏的健康与人体的健康息息相关 。

文章插图
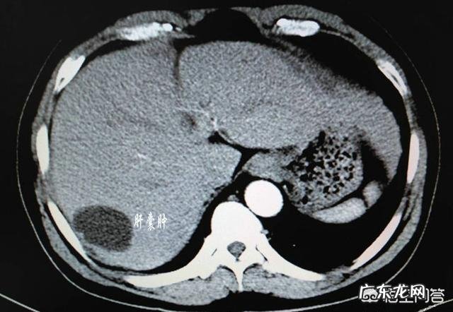
现在很多人在体检时 , 会偶然发现自己有肝囊肿 , 当发现了肝囊肿 , 有些人会比较迷惑 , 有些人会比较害怕 。肝囊肿到底是什么疾病 , 与肝癌会有什么关系么?
肝囊肿是较为常见的肝脏良性疾病 , 是长在肝脏组织内的“水泡” , 水泡内部充满液体 , 外面则是包围着简单的表皮细胞 , 很像一个水球 。肝囊肿可以为单发 , 也可以是多发 。主要分为寄生虫性和非寄生虫性肝囊肿 。后者更为常见 , 又可分为先天性、创伤性、炎症性和肿瘤性囊肿 。临床又以先天性肝囊肿最为多见 , 占90%以上 。而胆道炎症、肝脏损伤等也会引起肝囊肿 。

文章插图
寄生虫性肝囊肿是由寄生虫导致 , 寄生虫病通常是由于接触家畜而引起的 。所以发病人群主要多是西部牧民 , 另外 , 一些食物可能含有虫卵 , 如果你不小心吃到 , 它也可能导致肝囊肿疾病 。当食物被吃掉时 , 虫卵可以在血液流动的同时进入肝脏 , 因此它们逐渐变成了肝囊肿 。

文章插图
先天性肝囊肿是由胚胎发育过程中出现的问题引起的 , 也就是说 , 在胚胎发育的时候就出现了这种疾病 。一般生长缓慢 , 较小的一般不会有任何症状 , 但如果囊肿增大 , 会产生对邻近组织的压迫 , 从而产生一系列症状 , 囊肿巨大压迫到胃、十二指肠时会有饱腹感 , 食欲差 , 恶心 , 呕吐等消化疾病症状;压迫到肝内大血管或胆管时可能会产生肝功受损或轻度黄疸的症状 。即使严重的肝囊肿也仅仅表现为囊肿巨大而压迫其周围正常的组织或器官 , 并不会发生癌变 。
此外 , 单发性肝囊肿以20-50岁女性多见 , 囊肿发生于肝右叶居多 , 小者直径仅数毫米 , 大者可占据整个肝脏 。多发性肝囊肿以40-60岁女性多见 , 囊肿大小不等 , 多累及全肝 , 肝脏可增大变形 , 但也可局限于一段或一叶 , 囊液澄清透明 , 多不含胆汁 。

文章插图
在治疗上 , 对于小于5cm的肝囊肿一般不需要治疗 , 药物并不能治疗和预防其增大 。大家不必过分担心 , 不会影响正常的生活、工作和学习 , 只需要定期复查 , 观察囊肿是否有增大的趋势即可 。而对于大于5cm , 出现压迫症状者 , 则建议手术治疗 。因单纯抽液易复发 , 故首选腹腔镜手术 。

文章插图
几乎每天看CT片子都能看到肝囊肿 , 肝囊肿是比较常见的肝的良性病变 , 尤其是先天性肝囊肿是临床比较常见的囊肿的类型 , 除此之外还有炎症性、创伤性肝囊肿 。
- 涧下水命是什么意思
- 军训擦什么防晒霜好 军训用哪种防晒霜好
- 曳兵弃甲是什么生肖
- 有什么食物是强酸性的?
- 苏宁配送是怎么配送的 苏宁易购配送方式
- 关于青春的句子
- 叶修帮唐柔打出龙抬头,是哪一集?
- 物体在离心力场中表现的沉降运动现象是指
- 物质是由什么组成的?
- 100米跑的起跑步骤
特别声明:本站内容均来自网友提供或互联网,仅供参考,请勿用于商业和其他非法用途。如果侵犯了您的权益请与我们联系,我们将在24小时内删除。
