肺不张分两大类:阻塞性肺不张和压迫性肺不张 。当支气管被肿瘤、粘稠痰液、异物等堵塞,远侧肺组织内气体吸收,就会发生阻塞性肺不张 。当大量胸腔积液、外伤出血压迫、气胸、巨大肿瘤对肺组织造成压迫,就会发生压迫性肺不张 。
【肺不张没有住院,现在没有什么症状靠锻炼能好吗?】

文章插图

文章插图

文章插图
发生肺不张,必须查明病因,警惕肿瘤儿童肺不张多为炎症或者气管异物堵塞,但成年人的肺不张,首先要排查的就是肺癌!X光片有时只能看出肺不张(肺叶体积缩小,密度增高),不可靠,需要增强CT检查,有时还需要做支气管镜 。
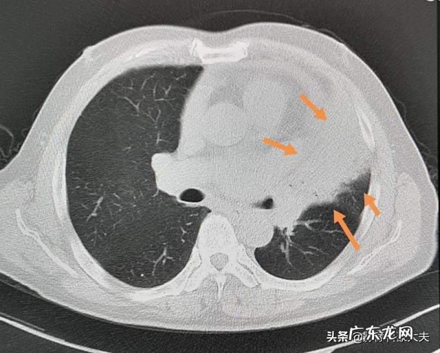
像这位50多岁的男子,咳嗽一个月,左肺上叶肺不张,体积缩小,密度增高(肺内气体被吸收) 。进一步增强CT和支气管镜检查,发现中心型肺鳞癌:
有些肺不张是良性病变引起,需要对症zhi疗比如老年人吞咽功能减退,不小心误吞了鸡骨、鱼刺等,一段时间后,可以引起肺内阻塞性炎症和肺不胀,通常需要支气管镜取出异物,并做消炎zhi疗 。
又是老烟民常年痰液粘稠,可以堵塞气管引起肺不张,需要消炎化痰,必要时支气管镜冲洗 。
这位老爷子62岁,抽烟几十年,反复咳嗽住院,发现左下叶肺不张,开始以为得肺癌了,很害怕!
增强CT发现支气管内充满了低密度的痰栓,经过雾化(稀释痰液)和消炎zhi疗,一周出院了 。
所以说,发现肺不张,即使没有症状也不要大意,应听从呼吸科医生指导,查明病因对症zhi疗!不要把小病拖成大病!
我是影像科豪大夫,欢迎关注!
- 每天坚持健身,但体重没有变化,什么原因
- 没有床头板的裸床,够简约有格调,也可以舒舒服服睡个好觉!
- 有没有好点的赚钱项目介绍一下?
- 有没有软件是可以输上各种指标,制定专门的瘦身计划的?
- 32岁柏林女主的家,没有一件贵重家具,但充满阳光和幸福感,羡慕
- 有没有什么方法可以减掉小腿肌肉和胳膊肥肉?
- 有没有什么产品能快速瘦身的?
- 注意力分哪几种 注意力的三种功能
- 有没有节奏轻快还抒情的韩文好歌推荐?
- 有没有在鱼美人减肥不按照食谱而成功的
特别声明:本站内容均来自网友提供或互联网,仅供参考,请勿用于商业和其他非法用途。如果侵犯了您的权益请与我们联系,我们将在24小时内删除。
