
文章插图
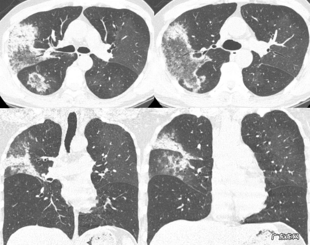
图4-1

文章插图
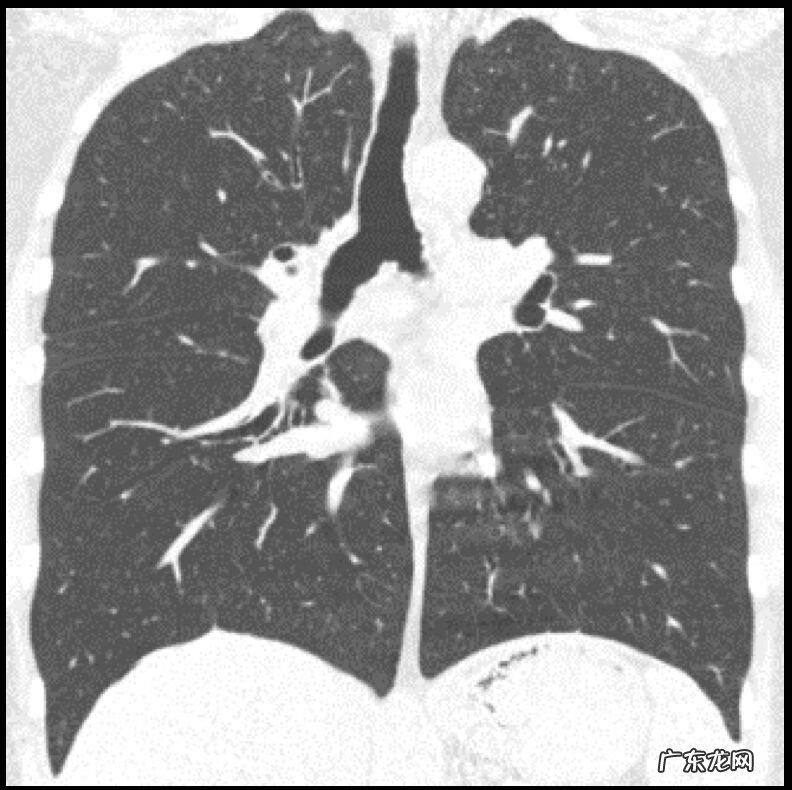
图4-2
反晕征并非OP的特征性表现,在很多疾病中(肺结核,ANCA相关血管炎,结节病,PCP)都可以出现,需要影像表现的细节信息及临床资料建议鉴别 。
VS 肺结核

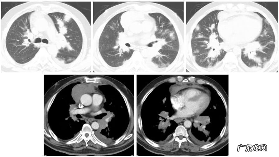
文章插图
肺结核是一大类容易出现反晕征的改变,它的反晕征的周围实变影其实不是实变,是肉芽肿性结节堆积造成的,形状不规则,边缘结节感较强,磨玻璃中心可见结节影,同时伴有支气管壁增厚,树丫征,周边可见磨玻璃密度的渗出影,但是渗出影往往也可以看到结节 。这与OP不同,OP中间的磨玻璃影很少出现结节 。此外,除了反晕征,肺结核还有其他的影像,如空洞,硬结灶,钙化灶,临床多有结核中毒症状 。
VS ANCA相关血管炎
ANCA相关血管炎也能看到反晕征,沿支气管血管束分布,病变周围也是结节状的改变,也有可能是ANCA相关血管炎 。但是ANCA相关血管炎的临床表现有哮喘或过敏性鼻炎或嗜酸性粒细胞增高,除了反晕征以外,双肺磨玻璃影或实变影一般呈对称性分布,支气管壁增厚并支气管扩张不多见,周边胸膜下显著,反晕征为肺出血和边缘机化性肺炎形成 。
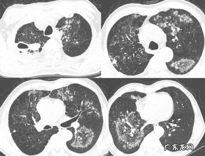
这是一位嗜酸性肉芽肿性多血管炎(EGPA)的患者,咳喘 1年余,逐渐加重,有过敏性鼻炎/鼻窦炎14年的病史 。患者出现典型的全身症状,外周血白细胞↑,嗜酸性粒细胞百分比31.2% ↑,心肌酶升高,胃肠道症状,皮疹,血沉加快,CRP增高,ANCA (-) PR3(-) MPO(-),气管粘膜活检:基底膜及间质见嗜酸性粒细胞浸润 。治疗3个月后肺内病变明显吸收(图5) 。这个病例从临床表现,就已经排除了很多疾病 。

文章插图
图5
2、典型征象——多发斑片状实变影
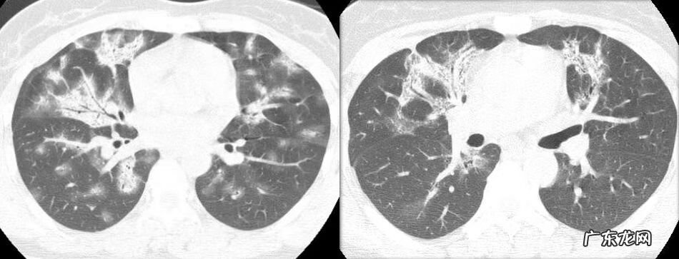
这是一位25岁的女性,间断咳嗽,咳痰2月,白色粘痰,沿支气管血管束分布的斑片状实变影(图6),穿刺证实机化性肺炎 。治疗后2个月复查,肺内病变大部分吸收,但是有一部分还未吸收,出现了小叶间隔增厚及牵拉性支气管扩张,这就是非常典型的OP,有点像单纯的肺炎,但还是有所不同,支气管稍微有些扩张,实变影边缘有收缩聚拢 。

文章插图
图6
双肺下叶沿支气管血管束分布的对称实变影,其内可见明显的牵拉性支气管扩张(图7),最典型影像特征及典型分布OP 。

文章插图
图7
看到多发斑片状实变影的时候,除了OP,如果没有临床症状,我们需要和哪些疾病鉴别?
VS 淋巴瘤

文章插图
淋巴瘤也可以出现这样的实变影,但常伴多发结节影;病灶多位于中内带,但OP的病灶在外带多见;除了肺内的病灶,还有纵膈淋巴结肿大融合 。
VS 急性嗜酸粒细胞性肺炎

文章插图
急性嗜酸粒细胞性肺炎(AEP)也可以出现双肺多发斑片状实变影,如果单从影像上来看,支气管充气征较OP少见,支气管扩张罕见,另外,中上肺外带为主,病灶边界不清 。影像上鉴别比较困难,但是AEP多有哮喘病史,低氧导致的呼吸困难较为明显,血或支气管灌洗液嗜酸性粒细胞比例增高可以提示大家 。
- 咳嗽特别厉害会得肺炎吗 肺炎会咳嗽的很厉害吗
- 肺炎可以完全治愈吗 肺炎好治吗?
- 新型肺炎自查手册内容 新型肺炎自查手册
- 已有11款新冠抗原自测试剂获批
- 打完新冠疫情后多久可以怀孕 打了新冠疫苗后多久后可以怀孕
- 智慧教育官网 智慧教育
- 间质性肺炎能吃鸡蛋吗 肺炎能吃鸡蛋吗
- 打完疫苗后注意事项 打完新冠疫苗注意事项新冠
- 一般肺炎多久可以治愈 新冠肺炎能治好吗
- 日本核辐射10个县 日本辐射事件是哪一年
特别声明:本站内容均来自网友提供或互联网,仅供参考,请勿用于商业和其他非法用途。如果侵犯了您的权益请与我们联系,我们将在24小时内删除。
