3、百变OP——多发磨玻璃型
非典型征象——磨玻璃型
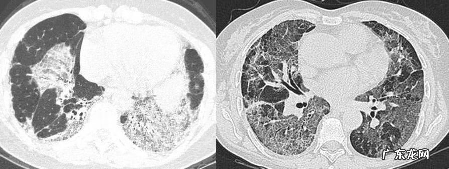
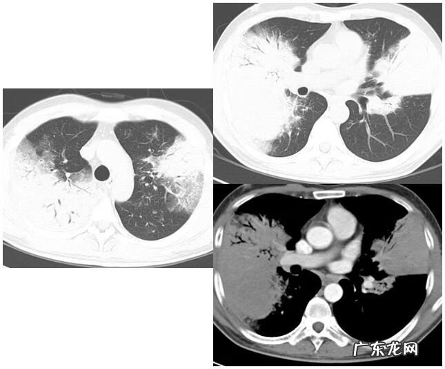
这是一位36岁的女性,咳嗽3个月,咳白色粘痰 。我们来看这个双肺下叶弥漫磨玻璃影,里边有细支气管壁增厚、牵拉、稍扩张,在胸膜下(图9) 。这是SLE继发OP,患者使用激素治疗3月,肺内病变基本吸收仅残留少许磨玻璃密度影 。

文章插图
图9
VS NSIP

文章插图
两者临床表现相似,NSIP主要表现为双侧对称性的磨玻璃密度影 。但是仔细看,对于NSIP来说,网格影和牵拉性支气管扩张在NSIP里更常见,主要以下肺为主,小叶结构扭曲多于OP 。
4、百变OP——局灶实变型
非典型表现——大叶性实变型
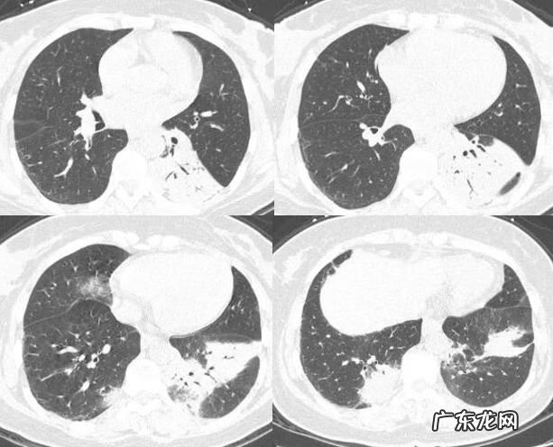
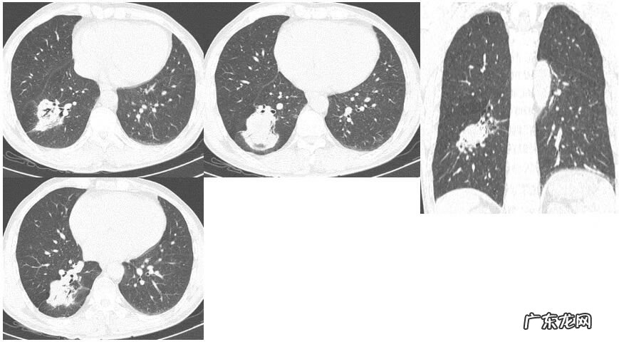
大叶性实变型也就是双下肺实变影,伴有支气管充气征 。这是一位52岁的女性,咳嗽胸闷3个月,咳白色粘痰,由于抗细菌及真菌效果不佳,当时考虑肿瘤或者OP,但是仔细看,它的叶间裂后移,肺的体积是缩小的,支气管可见不规则轻度扩张,这也提示病变是收缩的概念,并不是像肿瘤一样的膨胀性生长的改变 。肺穿刺活检证实OP,激素治疗3月,肺内病变基本吸收仅残留少许磨玻璃密度影 。

文章插图

文章插图
激素治疗3月后
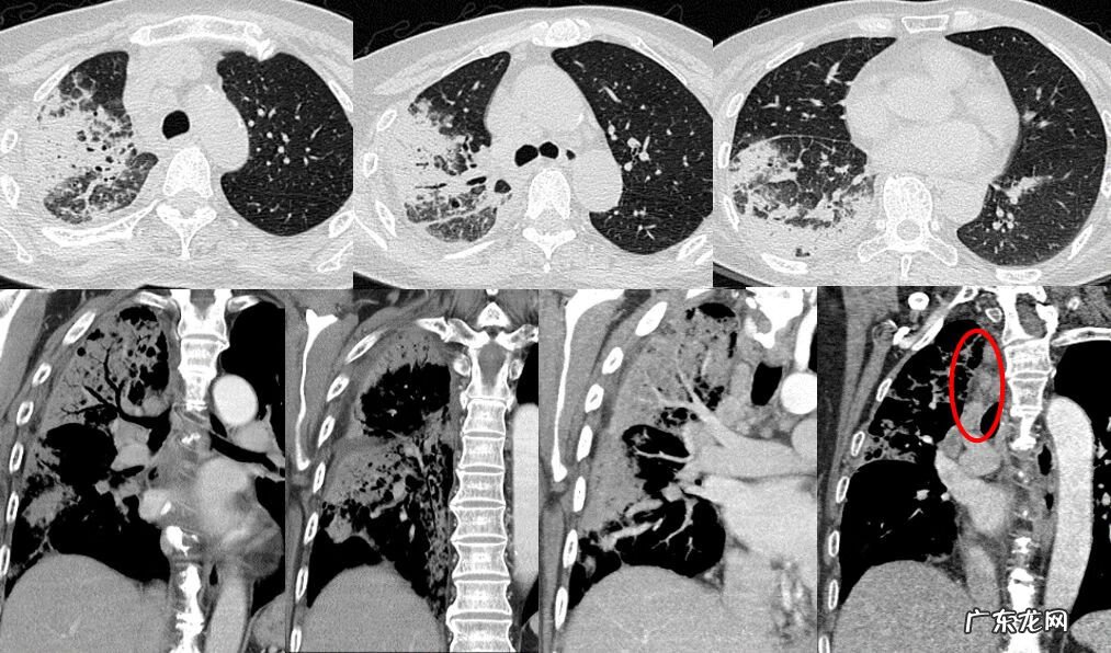
这是一位71岁的女性,咳嗽咳痰,发热20余天,最高体温39度,抗炎效果不佳 。右肺的大片状实变影,叶间裂积液,还有淋巴结增大,增强后病灶密度不均匀,明显强化,30hu以上 。仔细观察细支气管,末梢有一种扩张、牵拉的改变,血管走行未见明显异常 。最开始诊断为大叶性肺炎,没有想到OP,因为影像学表现很相似,有实变磨玻璃影、小叶间隔增厚,胸腔 积液等改变,患者临床表现也类似感染,经肺穿刺活检证实为OP 。激素治疗2年,肺内病变基本吸收仅残留少许磨玻璃密度影,但是左肺又新出现磨玻璃密度影,这就是病情反复的特点 。

文章插图

文章插图
激素治疗2年
VS 肺腺癌
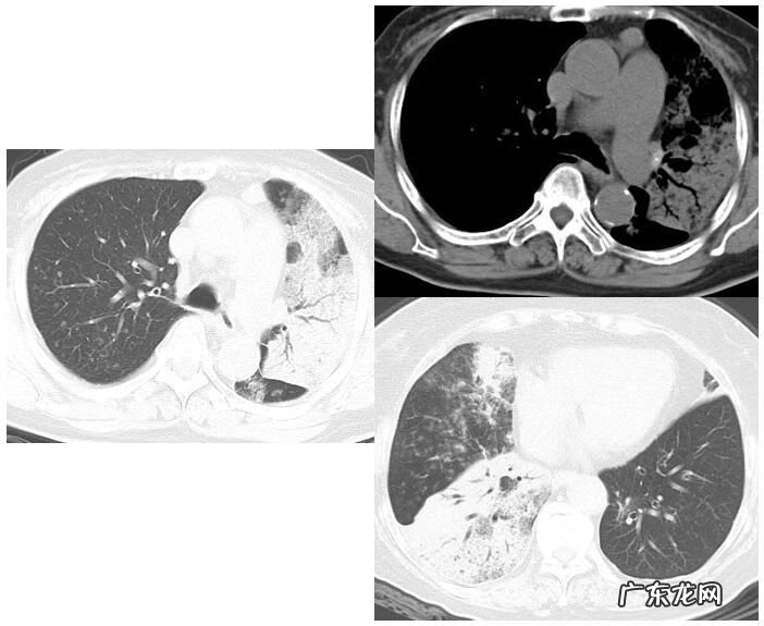
这个患者症状不明显,抗炎无效 。实变区密度高,与正常肺分界清晰;支气管走行僵硬,呈枯枝征改变、叶间裂膨隆征;不均匀轻度强化或无强化;肺内常见播散灶,进展快;纵隔淋巴结肿大 。

文章插图
VS 淋巴瘤
这是一位46岁男性,发现肺部阴影5年,消瘦1年 。结合免疫组化结果,考虑为非霍奇金淋巴瘤B细胞来源 。患者症状较轻,抗炎治疗可能有效果 。表现实变者,实变区密度均匀,有轻度占位效应;支气管充气征多见,走行自然或有轻度牵拉扩张,无支气管中段征象;轻度均匀强化,病变胸膜下脂肪间隙消失 。增强CT有助于鉴别肿瘤,尤其是大叶性肺炎,后者是明显强化 。

文章插图
5、百变OP——局灶肿块型
非典型表现——肿块型

文章插图
孤立性肿块型在临床非常难以鉴别,我只是把自己的经验和大家分享 。肿块型好发于外周,右肺下叶较多见;尖角征,周边伴毛刺及索条,周围伴有磨玻璃密度影;病灶内可见坏死和空洞,空洞较小,内壁光整;内有支气管气相及空腔;病灶临近胸膜时,与胸膜呈宽基底相连,胸膜可增厚粘连,胸膜下脂肪层存在 。
- 咳嗽特别厉害会得肺炎吗 肺炎会咳嗽的很厉害吗
- 肺炎可以完全治愈吗 肺炎好治吗?
- 新型肺炎自查手册内容 新型肺炎自查手册
- 已有11款新冠抗原自测试剂获批
- 打完新冠疫情后多久可以怀孕 打了新冠疫苗后多久后可以怀孕
- 智慧教育官网 智慧教育
- 间质性肺炎能吃鸡蛋吗 肺炎能吃鸡蛋吗
- 打完疫苗后注意事项 打完新冠疫苗注意事项新冠
- 一般肺炎多久可以治愈 新冠肺炎能治好吗
- 日本核辐射10个县 日本辐射事件是哪一年
特别声明:本站内容均来自网友提供或互联网,仅供参考,请勿用于商业和其他非法用途。如果侵犯了您的权益请与我们联系,我们将在24小时内删除。
