4、异物和药物的使用:输尿管支架留置过久、磺胺类药物的使用等!
还有很多病因以及假说 , 比如饮食习惯、遗传基因、地域特点等等 , 在此不多赘述 。

文章插图
我们可以针对上述病因有效预防结石 , 但是效果都不确实 , 因为结石成因不是单一 , 是很多个因素共同作用机体形成的 。与其分析病因 , 不如从结石形成最后一关卡着手 , 那就是大量冲刷尿路 , 保持尿路通畅、年轻 。
每天保持足够的尿量(60kg体重排泄2000ml尿量) , 做到勤饮温热水、不憋尿、勤排尿!尿液过少容易罹患结石;尿液过多 , 警惕尿崩症、糖尿病等 。
感谢各位阅读 。
自从遇见过疼得满头大汗的肾结石患者 , 我每天都坚持多喝水 , 这是预防肾结石非常有效的方法之一 。

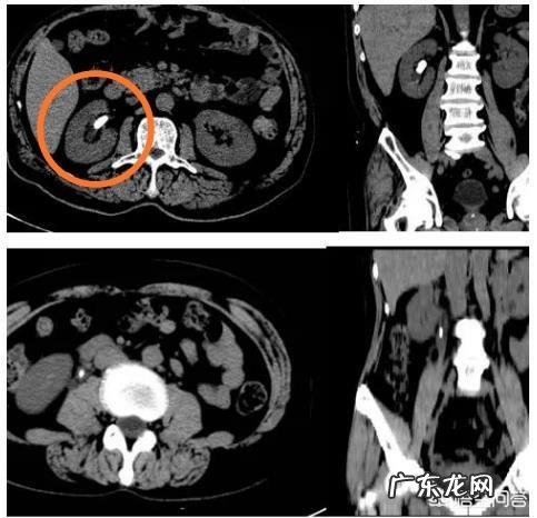
文章插图
上图是一位肾结石患者的CT图像 , 可以看到右肾肾盂有一颗高密度阳性结石 , 冠状位看的也非常清晰 。
结石肾结石是比较常见的泌尿系的结石 , 男性的发病率高于女性 , 并且青壮年多发 。并且在一些高血压糖、卧床等人群中的发病率明显高于一般人 。
肾结石的形成就是尿液中晶体析出的过程 , 是以钙盐为主 , 或是由于代谢异常 , 或是摄入太多 , 或是排出异常 。
从减少摄入入手:
结石的成分草酸钙占百分之七十以上 , 所以尽量减少含草酸物质的摄入 , 例如长期食用大量巧克力 , 或是太“硬”的水质 。
从食物中摄入的过量的草酸会和体内的钙盐结合 , 形成草酸钙 , 而草酸钙在体内的溶解度有限 , 不能及时排除时就会形成结石 。
从排除入手:
①多饮水 。充足的饮水一方面可以增加钙盐在尿液中的溶解的量 , 另一方面可以促进较小的结石以排尿的形式排出;
②积极治疗尿路梗阻等疾病 。尿路梗阻、尿路感染等疾病都会影响排尿 , 自然对于钙盐以及较小结石的排出也是不利的;
③多运动 。可以适当的做一些上下的跳跃的运动 , 如篮球、羽毛球等 , 上下跳跃的运动可以促进较小的结石在尿路中的运动 , 促进小结石的排出 。
其他方面:
①另外一些疾病会影响钙盐的代谢 , 例如甲状旁腺功能亢进 , 会影响钙盐的代谢 , 导致不容易溶解的钙盐在体内堆积 , 也是容易生成结石的;
②某些药物也会影响钙盐代谢 , 如磺胺类药物 , 故在服药前要考虑到这一点 , 更换其他药物 , 或定时检测结石的 。
以上提到的一些 , 除了是对肾结石的很好的预防 , 对于其他的泌尿系结石也是具有同样的价值的 , 可以参考 。如果发生结石较大 , 一定要及时到泌尿外科就诊 。
如何预防肾结石首先 , 体检是预防肾结石的重要方法 。每年进行一次泌尿系统体检 , 特别是有家族结石多发史、在结石高发地区生活、曾经患有泌尿系统结石的易感人群 , 需要重点筛查 。如果一但发现患有泌尿系结石 , 则最好每6个月做泌尿系B超检查 , 追踪结石是否长大及引起泌尿系梗阻 , 如有梗阻需及时到医院处理 。另外一定要走出“结石不痛就没事了”的误区 , 结石不痛了并不意味结石排掉了 。它可能躲在您的肾脏或输尿管内慢慢长大引起肾积水甚至化脓 , 慢慢破坏肾功能 。
- 怎么能让狗狗长肌肉?
- 总决赛马龙4-3逆转梁靖崑,赢球后振臂高呼,你怎么看?
- 怎么求函数定义域?
- 肾结石多发体质有什么办法预防?
- 瘦肉怎么做好吃?
- 身体突然出汗是怎么回事?
- 自媒体是什么?怎么做自媒体赚零花钱?
- 老道风水:房屋北高南低,又有水流过,家中易出达官显贵 房子北面和东面有河风水怎么样
- 黑龙江省哈尔滨市疫情怎么样了?
- 结婚后老婆管钱,老公藏私房钱给自己的父母,被老婆知道了,该怎么办?
特别声明:本站内容均来自网友提供或互联网,仅供参考,请勿用于商业和其他非法用途。如果侵犯了您的权益请与我们联系,我们将在24小时内删除。
